Maestro Specialty
Dental Implant Solutions
Implant Restorations
















































Maestro specializes in Implant restorations, starting with Custom milled titanium abutments to custom shade matched implant crowns.
From single unit implant restoration to full arch restoration, Maestro has experienced it all. If you ever have any questions regarding which method or treatment plan will be best for your patients, give us a call! Our technicians are available throughout the day to help answer any technical questions.
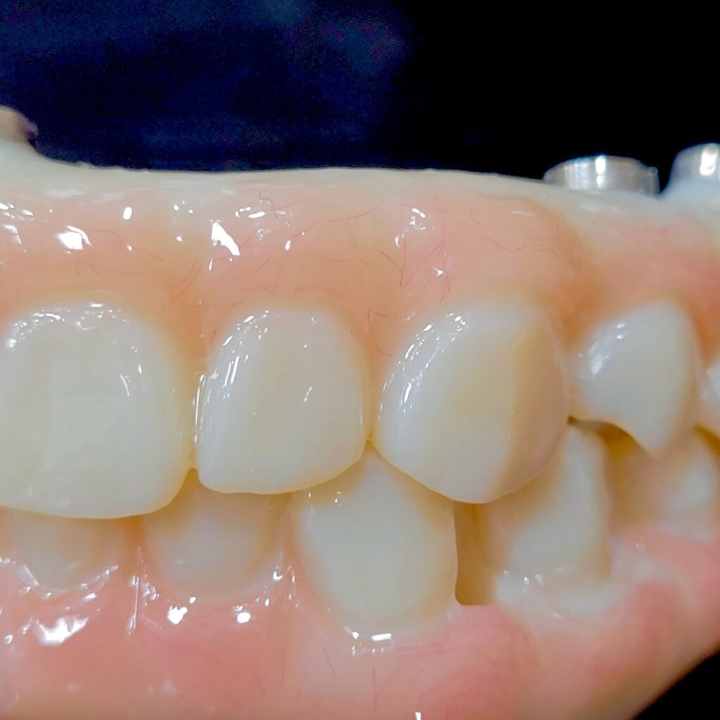
Implant Hybrid Restorations
All-On-X Full Arch Restorations





Four implants are all it takes to restore a full smile that is both functional and beautiful.
Patient wore our PMMA upper and lower arch for 1 whole year without any damages to the PMMA. After getting comfortable with the new set of teeth and noting any adjustments, we fabricated final Zirconia Bridge with pink porcelain custom matched to patient’s gum shade.
Multi-Unit Abutment Full Arch Restoriations (MUA)















MUA implant restorations allow the most natural, beautiful smile restoration that will last a life time.
MUA restoration steps are as follows:
1. Maestro receives a traditional implant impression, we calculate the angle and position of the implant to find the correct multi-angle abutments (MUA) to start the process. Doctor will deliver the MUA abutments to the patient, verify implant position with our verification jigs, take a wax bite, and a final impression with MUA impression copings.
2. With the new MUA impression, we will fabricate PMMA bridges that the patient will spend a couple of months, confirming that they are happy with the overall shape and function of their new teeth.
3. After PMMA try in is complete, doctors are asked to return the PMMA with a bite registration for us to process the final zirconia bridge.
In the situation where the PMMA needs adjustments to fit perfectly, a new impression will be required before processing the final zirconia.
Implant Overdenture with Titanium Bars

Implant overdenture with Titanium Bar is recomended for patients with heavy or deep bite.
Bars can help puff out the sunken lip / facial features.
Implant Overdenture with Locators



Locator overdentures are commonly requested by patients as “snap on” dentures. They are typically help on by 2 locators, but doctors may place more if deemed necessary.
Locator overdenture process can be divided into 3 steps: Bite wax rim with metal mesh -> teeth try in -> finish
It is crucial that each step is verified by the doctor for proper fit and that locator snaps on properly.